:::
新聞稿
水試所研發烏魚系群快速檢測試紙 強化產業氣候韌性
- 發布日期:114-11-28
- 點擊數:372
- 修改時間:114-12-29
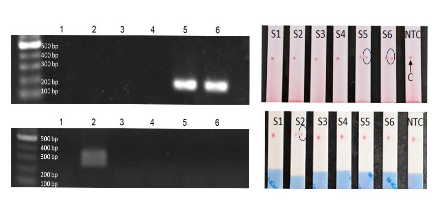
農業部水產試驗所運用分子生物鑑定技術,成功開發出烏魚系群快速檢測試紙,可協助業者迅速判別魚苗來源,篩選適合當地養殖的系群。此成果有助強化臺灣烏魚養殖產業的基盤韌性,降低氣候變遷對漁業生產的衝擊,並推動產業穩定發展。
水試所表示,烏魚因其珍貴的烏魚子素有「烏金」美譽,是臺灣沿近海漁業與養殖業的重要經濟魚種,臺灣鄰近西北太平洋海域的烏魚可分為溫帶型、黑潮型與熱帶型三大系群,分布於不同水溫帶。由於目前養殖用烏魚苗主要仰賴野生撈捕,如何精準鑑別魚苗系群、選擇適合臺灣環境的族群,成為確保養殖產業在氣候變遷下維持永續發展的關鍵。
水試所研究團隊指出,過去研究已顯示不同系群雌魚的生殖特性差異明顯,直接影響烏魚子的產值潛力。溫帶型雌魚經三年養殖後,性腺指數偏低、卵巢未見發育;黑潮型雌魚則具有較高性腺指數與發育中卵巢,具生產烏魚子的經濟價值。表現最佳者為熱帶型雌魚,其體重與卵巢重量均顯著高於黑潮型雌魚,顯示具生產體型更大、品質更優烏魚子的潛力。。
水試所進一步指出,本次開發的烏魚系群鑑定快速檢測試紙,能在短時間內判定烏魚苗與親魚的系群來源,為人工繁殖與種苗選育提供科學依據。未來將持續優化檢測技術,協助養殖業者建立更具氣候韌性與永續競爭力的烏魚產業。
農業部水產試驗所淡水養殖研究中心
新聞聯絡人:楊順德主任
電 話:(04)7772175轉1101、0978-385795
撰稿人:劉恩良 助理研究員
電 話:(03)5551190轉211
水試所表示,烏魚因其珍貴的烏魚子素有「烏金」美譽,是臺灣沿近海漁業與養殖業的重要經濟魚種,臺灣鄰近西北太平洋海域的烏魚可分為溫帶型、黑潮型與熱帶型三大系群,分布於不同水溫帶。由於目前養殖用烏魚苗主要仰賴野生撈捕,如何精準鑑別魚苗系群、選擇適合臺灣環境的族群,成為確保養殖產業在氣候變遷下維持永續發展的關鍵。
水試所研究團隊指出,過去研究已顯示不同系群雌魚的生殖特性差異明顯,直接影響烏魚子的產值潛力。溫帶型雌魚經三年養殖後,性腺指數偏低、卵巢未見發育;黑潮型雌魚則具有較高性腺指數與發育中卵巢,具生產烏魚子的經濟價值。表現最佳者為熱帶型雌魚,其體重與卵巢重量均顯著高於黑潮型雌魚,顯示具生產體型更大、品質更優烏魚子的潛力。。
水試所進一步指出,本次開發的烏魚系群鑑定快速檢測試紙,能在短時間內判定烏魚苗與親魚的系群來源,為人工繁殖與種苗選育提供科學依據。未來將持續優化檢測技術,協助養殖業者建立更具氣候韌性與永續競爭力的烏魚產業。
農業部水產試驗所淡水養殖研究中心
新聞聯絡人:楊順德主任
電 話:(04)7772175轉1101、0978-385795
撰稿人:劉恩良 助理研究員
電 話:(03)5551190轉211
